

We all want the best for our kids. Healthy smiles, happy memories, and fewer trips to the dentist for fillings. But what if something as simple as your child’s favorite juice box could be a hidden culprit behind tooth decay?
At Saginaw Kids Dentistry, we often hear from concerned parents asking how to protect their child’s teeth while still allowing them the occasional treat. If you’ve ever wondered, “Is juice causing cavities?” you’re not alone. Let’s dive into the truth about juice, sugar, and your child’s oral health, with tips to help keep those little smiles cavity-free.
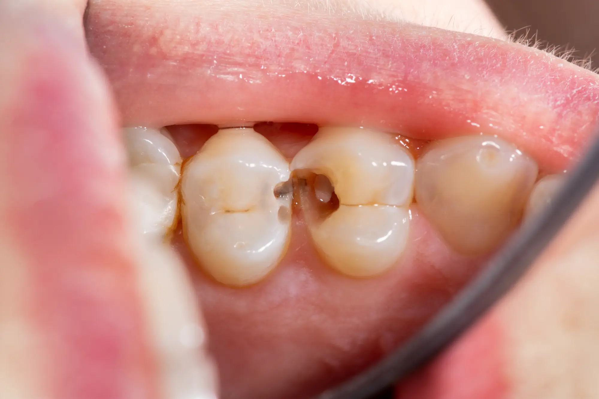
Juice may seem like a healthier alternative to soda, but it’s surprisingly tough on teeth. Even though 100% fruit juice is packed with healthy vitamins and antioxidants, it’s still very high in natural sugars and acid. In fact, a typical 12oz serving of grape juice actually has more sugar (48 grams) than a 12oz can of Coca-Cola (39 grams).
These factors work together to weaken tooth enamel, creating the perfect environment for cavities to form. Here’s how it happens:
While juice isn’t the only contributor to cavities, it can be a significant factor, especially when combined with other sugary or starchy snacks throughout the day.
According to the American Academy of Pediatrics (AAP), children should consume juice in moderation:
It’s also a good idea to serve juice with meals instead of as a snack or in a bottle or sippy cup that your little one may sip from multiple times over several hours. This minimizes prolonged contact between sugar and teeth and supports better overall dental hygiene.
Keeping your child’s teeth healthy doesn’t mean cutting out all of their favorite drinks or treats. Instead, small changes can protect their smiles while still making room for occasional indulgences. Consider the following tips:
The best way to prevent cavities is to limit sugary drinks and encourage healthier options:
Daily oral hygiene habits are also crucial in protecting your child’s teeth from cavities:
Fruit juice at parties or special occasions? Go for it! The goal isn’t perfection but balance. Encourage children to finish their juice in one sitting rather than sipping on it throughout the day, and have them drink a glass of water or rinse their mouth afterward to minimize sugar exposure.
At Saginaw Kids Dentistry, we’re here to be your partner in promoting healthy habits and preventing dental issues like cavities. Dr. Christina Huynh and Dr. Elias Chahine, our husband-and-wife pediatric dental team, are board-certified pediatric dentists dedicated to providing a comforting and trust-filled experience for families.
Whether you’re bringing in a nervous first-timer or just need expert tips tailored to your child’s needs, we’re here to support your whole family. Our office is designed with kids in mind, creating a fun and welcoming space that reduces anxiety and makes visits easier for parents and children alike.
For little ones who may feel nervous, we offer several sedation options to ensure a stress-free experience. With access-oriented pricing, we also make family dental care more affordable with specials for new patients, second-opinion consultations, and flexible financing options.
You don’t have to navigate your child’s oral health alone. At Saginaw Kids Dentistry, we’re passionate about helping kids build healthy habits early on while giving parents the tools and confidence to protect their little ones’ smiles.
If you’re ready to schedule a visit, ask questions, or learn more about preventing juice-related cavities, we’d love to hear from you! Give us a call today at (682) 285-1900, and let our family care for your family. Together, we’ll keep those bright little smiles shining for years to come!

At the heart of Saginaw Kids Dentistry is our passion for meeting families, seeing them grow, and being a trustworthy presence for kids and parents alike. If you’re ready to join our patient family, book a visit online today! We are excited to meet you and your child.
.avif)